Convenient Care
Starts Here!

Oasis now offers Virtual Consultations for your initial evaluation.

Total Knee Replacement: What to Expect Before, During, and After Surgery

section-title-line
Medically Reviewed by Oasis Orthopedic & Spine

Total knee replacement surgery represents a life-changing procedure that can eliminate chronic pain and restore mobility for patients with severe arthritis or joint damage. While the prospect of major surgery can feel overwhelming, understanding each phase of the process helps patients prepare mentally and physically for a successful outcome and smoother recovery journey.

The orthopedic surgeons at Oasis Medical Group guide patients through every step of total knee replacement, from initial consultation through complete recovery. With their comprehensive approach to joint replacement surgery at multiple locations throughout northern New Jersey, patients receive personalized care designed to optimize both surgical outcomes and long-term joint function.

Preparing for Your Total Knee Replacement

Pre-surgical preparation plays a crucial role in ensuring optimal outcomes and reducing potential complications. Your orthopedic surgeon may recommend several weeks of “prehabilitation” to strengthen the muscles surrounding your knee joint before surgery. This preparation helps improve post-operative recovery time and reduces the risk of complications during the healing process.

Medical optimization often involves managing existing health conditions such as diabetes, high blood pressure, or heart disease to ensure you’re in the best possible condition for surgery. Your surgical team may request blood work, cardiac clearance, and other diagnostic tests to assess your overall health status. Smoking cessation is strongly encouraged, as tobacco use significantly impairs bone healing and increases infection risk.

Home preparation involves making your living space safe and accessible for your recovery period. Installing grab bars in bathrooms, removing tripping hazards like loose rugs, and arranging furniture to create clear pathways with assistive devices becomes essential. Many patients benefit from preparing meals in advance and arranging for help with daily activities during the initial recovery weeks.

Understanding the Surgical Procedure

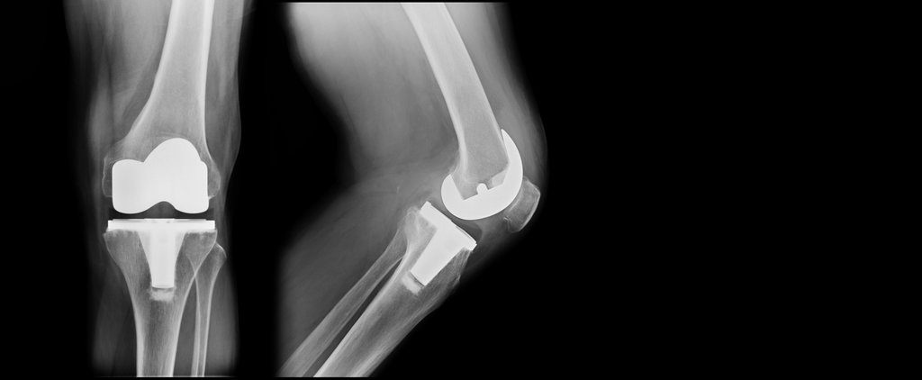
Total knee replacement surgery typically takes one to two hours and involves removing damaged cartilage and bone from the thigh bone, shin bone, and kneecap. The surgeon then replaces these surfaces with artificial components made from metal alloys and high-grade plastics designed to replicate normal knee function and provide decades of reliable service.

Modern surgical techniques often utilize computer-assisted navigation or robotic systems to ensure precise implant positioning and optimal alignment. These advanced technologies help surgeons achieve more accurate bone cuts and implant placement, potentially leading to better long-term outcomes and improved joint function. The artificial joint components are secured using either bone cement or are designed to allow your natural bone to grow into the implant surface.

Most total knee replacements are performed under spinal anesthesia, which numbs the lower body while allowing patients to remain conscious if desired. General anesthesia remains an option for patients who prefer to be completely asleep during the procedure. Your anesthesia team works closely with your surgeon to determine the best approach based on your medical history and personal preferences.

Navigating Your Recovery Journey

Recovery from total knee replacement follows a predictable timeline, though individual progress varies based on factors such as age, overall health, and commitment to rehabilitation. Most patients begin walking with assistance the same day or day after surgery, with physical therapy starting immediately to prevent stiffness and promote healing. Early mobilization helps reduce the risk of blood clots and speeds overall recovery.

Hospital stays typically last one to three days, during which time pain management, wound care, and initial mobility training take priority. Modern pain control protocols combine multiple approaches to minimize discomfort while reducing reliance on opioid medications. Many patients find that their surgical pain is manageable and less severe than the chronic arthritis pain they experienced before surgery.

Home recovery involves several weeks of progressive activity advancement and physical therapy. The first few weeks focus on basic mobility, wound care, and gradually increasing walking distances. Most patients can return to light activities within a month, while full recovery and return to more demanding activities typically occurs over three to six months. Following your surgeon’s guidelines for activity restrictions helps ensure proper healing and long-term implant success.

Rehabilitation Milestones

Physical therapy progression follows specific milestones designed to restore strength, flexibility, and function safely. Initial goals include achieving adequate knee bending for daily activities such as climbing stairs and getting in and out of cars. Strengthening exercises gradually progress from simple muscle contractions to more challenging resistance training as healing progresses.

Most patients achieve significant pain relief within the first few weeks after surgery, with continued improvement over several months. Return to recreational activities such as golf, swimming, or cycling is usually possible within a few months, while high-impact activities may require longer recovery periods or permanent modification based on your surgeon’s recommendations.

Trust Oasis Medical Group for Your Knee Replacement Journey

Oasis Medical Group brings extensive experience in total knee replacement surgery to patients throughout northern New Jersey. Their orthopedic surgeons utilize the latest surgical techniques and implant technologies to ensure optimal outcomes for every patient. The practice’s comprehensive approach includes detailed pre-operative education, advanced surgical techniques, and personalized rehabilitation protocols designed to maximize your recovery success.From your initial consultation through complete recovery, the team at Oasis Medical Group provides the guidance and support you need for a successful knee replacement experience. Their commitment to patient education and individualized care helps ensure you feel confident and prepared throughout your surgical journey. Contact Oasis Medical Group today to schedule a consultation and discover how total knee replacement can restore your mobility and quality of life.

Oasis Medical Group Logo
Medically reviewed by Oasis Orthopedic & Spine

The team at Oasis Orthopedic & Spine consists of experienced physicians and specialists providing comprehensive orthopedic and spine care across nine convenient locations throughout Northern New Jersey. Specializing in minimally invasive spine surgery, advanced orthopedic treatments, and pain management, our goal is to bring you the real-world clinical expertise and proven treatment approaches we use in our practice daily.